Dentist in Norwood, MA
Dr. Wonsuk Joo has helped countless patients improve their oral health and smiles. Please explore our gallery to see some of the results our dentist and team have achieved. Call Norwood Dental Center at 781-762-3529 to make your appointment and learn more about our dental care in Norwood, Massachusetts!
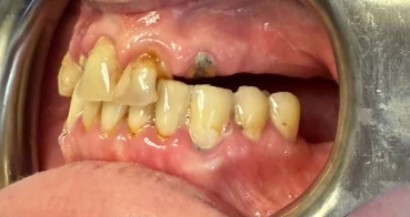
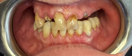
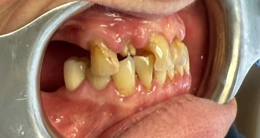
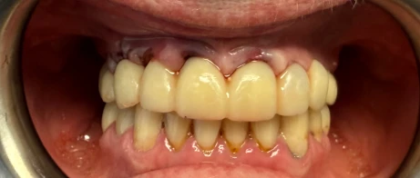
Before



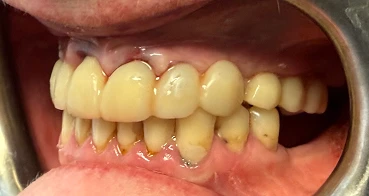
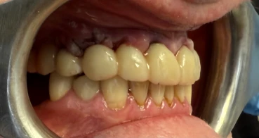
After


